Saturday, 22 November 2025

ผ่าฟันคุด: เข้าใจขั้นตอน สาเหตุ อาการ และวิธีดูแลหลังผ่าอย่างถูกต้อง

ฟันคุด คือฟันกรามซี่สุดท้ายที่มักขึ้นในช่วงวัยรุ่นถึงวัยผู้ใหญ่ตอนต้น แต่ด้วยพื้นที่ในขากรรไกรจำกัด ทำให้ฟันกรามซี่สุดท้ายไม่สามารถขึ้นได้ตามปกติ กลายเป็น “ฟันคุด” ที่ฝังตัวอยู่ใต้เหงือก หรือขึ้นเอียง ชนฟันข้างเคียง หรือโผล่ขึ้นเพียงบางส่วน ส่งผลให้เกิดการอักเสบ เจ็บปวด บวม และกลิ่นปากได้ง่าย

สล็อต xo Slotxo

ปัญหาสำคัญของฟันคุดคือ ขึ้นผิดตำแหน่ง เช่น

  • เอียงไปดันฟันกรามซี่ข้าง

  • ขึ้นไม่เต็ม เหงือกคลุม ทำให้เศษอาหารติด

  • ฝังตัวลึกในกระดูก ทำให้เกิดถุงน้ำ

  • เกิดการอุดตันของช่องปากบางซี่ ทำให้แปรงฟันและทำความสะอาดได้ยากมาก

ฟันคุดที่ปล่อยไว้โดยไม่จัดการ อาจทำให้เกิดผลเสียในระยะยาว เช่น ฟันผุ เหงือกอักเสบ ฟันซ้อน ฟันเอียง หรือแม้แต่การทำลายกระดูกขากรรไกร ดังนั้นการผ่าฟันคุดจึงเป็นขั้นตอนที่ทันตแพทย์แนะนำเพื่อป้องกันปัญหาเหล่านี้ตั้งแต่เนิ่น ๆ

อาการที่บ่งบอกว่า “ถึงเวลาต้องผ่าฟันคุด” แล้ว

อาการเจ็บ บวม หรืออักเสบซ้ำ ๆ

หากมีอาการเจ็บบริเวณกรามด้านสุด หรือเหงือกบวมแดงเป็นประจำ แสดงว่าฟันคุดกำลังดันเหงือกหรือฟันข้างเคียง ซึ่งหากไม่ผ่าออก อาการจะรุนแรงขึ้นเรื่อย ๆ

กลิ่นปากหรือมีหนองออกจากเหงือกด้านหลัง

ฟันคุดที่มีเหงือกคลุมบางส่วนมักทำความสะอาดได้ยาก ทำให้เชื้อแบคทีเรียสะสม เกิดกลิ่นปาก และบางรายอาจเกิดหนองขึ้น

อ้าปากแล้วเจ็บหรืออ้าปากได้ไม่สุด

เมื่อฟันคุดดันรากฟันหรือเส้นประสาท อาจทำให้ขยับกรามได้ลำบากและเจ็บมาก โดยเฉพาะเวลาเคี้ยวหรืออ้าปากกว้าง

ผ่าฟันคุด

มีฟันซ้อนหรือฟันข้างเคียงเริ่มเคลื่อน

แรงดันจากฟันคุดอาจทำให้ฟันกรามซี่อื่น ๆ เคลื่อน หรือเกิดการซ้อนกันในระยะยาว ซึ่งกระทบต่อการสบฟันและการเคี้ยวอาหาร

ขั้นตอนการผ่าฟันคุดตั้งแต่ต้นจนจบ

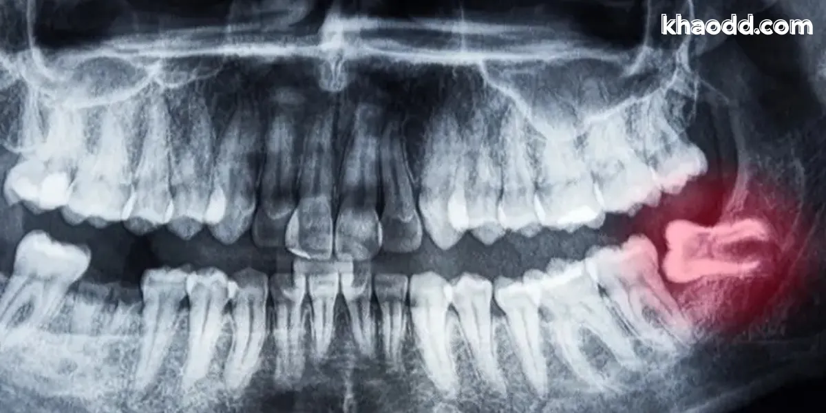
ตรวจเอ็กซเรย์ก่อนผ่า

ทันตแพทย์จะถ่ายภาพรังสีเพื่อดูตำแหน่งของฟันคุด ความลึก การเอียง การชนเส้นประสาท รวมถึงโครงสร้างกระดูกขากรรไกร เพื่อวางแผนการผ่าอย่างปลอดภัยที่สุด

การให้ยาชาและเริ่มผ่าตัด

ขั้นตอนผ่าฟันคุดไม่เจ็บ เพราะมีการให้ยาชาเฉพาะที่ ทันตแพทย์จะทำดังนี้:

  1. เปิดเหงือกบริเวณฟันคุด

  2. กรอหรือแบ่งซี่ฟันคุด (หากจำเป็น)

  3. นำฟันคุดออกทีละส่วน

  4. ทำความสะอาดแผล

  5. เย็บปิดแผลด้วยไหมหรือไหมละลาย

ระยะเวลาในการผ่าแตกต่างกันตามความยากง่าย ตั้งแต่ 15 นาทีจนถึงประมาณ 45 นาทีสำหรับฟันคุดที่ฝังลึก

หลังผ่าฟันคุดต้องดูแลตัวเองอย่างไร

ช่วง 0–24 ชั่วโมงแรกหลังผ่า

  • กัดผ้าก๊อซไว้ 1–2 ชั่วโมงเพื่อห้ามเลือด

  • ห้ามบ้วนน้ำแรง ห้ามดูดน้ำด้วยหลอด

  • ห้ามจับแผลด้วยนิ้วหรือไม้จิ้มฟัน

  • ประคบเย็นบริเวณหน้าแก้มเพื่อลดบวม

  • งดสูบบุหรี่ งดแอลกอฮอล์

  • พูดให้น้อยที่สุด เพื่อป้องกันแรงดันที่แผล

การทำทุกข้ออย่างถูกต้องช่วยลดอาการช้ำและช่วยให้แผลหายเร็วขึ้น

ช่วงวันที่ 2–3 หลังผ่า

  • เปลี่ยนเป็นประคบอุ่นเพื่อลดอาการเกร็งของกล้ามเนื้อ

  • รับประทานยาแก้ปวดและยาแก้อักเสบตามที่ทันตแพทย์สั่ง

  • เลือกอาหารอ่อน ๆ เช่น โจ๊ก ซุป ไข่ตุ๋น

  • ดื่มน้ำมาก ๆ เพื่อช่วยการฟื้นตัว

ช่วงวันที่ 4–7 หลังผ่า

  • อาการบวมจะค่อย ๆ ลดลง

  • สามารถเริ่มทำความสะอาดช่องปากได้มากขึ้น แต่หลีกเลี่ยงการแปรงบริเวณแผล

  • หากใช้ไหมทั่วไปจะนัดตัดไหมในช่วงนี้

  • หากมีไหมละลาย จะค่อย ๆ หลุดไปเองตามธรรมชาติ

หลัง 1 สัปดาห์จนแผลหายสนิท

  • อาการเจ็บปวดจะลดลงเรื่อย ๆ

  • หากยังมีอาการเสียวชา หรือปวดมากผิดปกติ ควรรีบพบทันตแพทย์เพื่อตรวจเช็ก

สิ่งที่ไม่ควรทำหลังผ่าฟันคุด

  • ห้ามสูบบุหรี่ 48 ชั่วโมงแรก

  • หลีกเลี่ยงอาหารร้อนจัด เผ็ดจัด หรือแข็งมาก

  • ห้ามออกกำลังกายหนักหรือยกของหนัก

  • ห้ามแปรงฟันบริเวณแผลโดยตรง

  • ห้ามดื่มแอลกอฮอล์จนกว่าแผลจะเริ่มติดดี

การละเมิดข้อห้ามอาจทำให้แผลเปิด สุขภาพ หรือทำให้ลิ่มเลือดหลุดออก เกิดภาวะแทรกซ้อนที่เรียกว่า “Dry Socket” ซึ่งจะเจ็บมากกว่าปกติหลายเท่า

ถึงเวลาต้องผ่าฟันคุด

ประโยชน์ของการผ่าฟันคุดตั้งแต่เนิ่น ๆ

ป้องกันปัญหาช่องปากระยะยาว

การผ่าออกตั้งแต่ยังไม่เกิดอาการ ช่วยลดความเสี่ยงฟันผุ ฟันล้ม เหงือกอักเสบ และปัญหากลิ่นปาก

ลดโอกาสเกิดถุงน้ำหรือซีสต์

ฟันคุดบางซี่ทำให้เกิดถุงน้ำในกระดูก ซึ่งอาจต้องผ่าตัดใหญ่หากปล่อยไว้

รักษารูปหน้าและการสบฟันให้ปกติ

แรงดันจากฟันคุดอาจทำให้ฟันซี่อื่นเบียดกัน จนทำให้รูปฟันเปลี่ยนไป การผ่าออกเร็วช่วยลดปัญหานี้ได้ดีมาก

ใครควรพิจารณาผ่าฟันคุดเป็นพิเศษ

  • ผู้ที่มีฟันคุดเอียงหรือดันฟันซี่อื่น

  • ผู้ที่มีอาการบวมแดงซ้ำ ๆ บริเวณกราม

  • ผู้ที่จัดฟันหรือกำลังจะจัดฟัน

  • ผู้ที่ตรวจเจอฟันคุดฝังลึกในเอ็กซเรย์

  • ผู้ที่มีปัญหากลิ่นปากตลอด แม้แปรงฟันสม่ำเสมอ

หากเข้าข่ายเหล่านี้ การผ่าฟันคุดช่วยป้องกันปัญหาใหญ่ในอนาคตได้อย่างมีประสิทธิภาพ

คำถามที่พบบ่อย (FAQ)

Q: ผ่าฟันคุดเจ็บมากไหม?
A: ขณะผ่าไม่เจ็บเพราะมีการให้ยาชา อาการเจ็บจะเกิดหลังการผ่า แต่สามารถควบคุมได้ด้วยยาและการดูแลที่เหมาะสม

Q: ต้องหยุดงานกี่วันหลังผ่าฟันคุด?
A: โดยทั่วไปพักประมาณ 1–3 วัน หากผ่าซี่ล่างหรือฝังลึกมาก อาจต้องพักเพิ่มถึง 4–5 วัน

Q: หากไม่ผ่าฟันคุด จะเป็นอะไรไหม?
A: ฟันคุดอาจทำให้ฟันซี่ข้างเคียงผุหรืออักเสบ มีหนอง เจ็บซ้ำ ๆ หรือทำให้กระดูกขากรรไกรเสียหายได้ในระยะยาว

Q: หลังผ่าแล้วกินได้ไหม?
A: กินได้ แต่ควรเลือกอาหารอ่อน เช่น โจ๊ก ซุป ผลไม้บด และหลีกเลี่ยงอาหารแข็ง

Q: ผ่าฟันคุดทุกซี่จำเป็นไหม?
A: ไม่จำเป็น ฟันคุดบางซี่อาจขึ้นปกติ ไม่มีปัญหา ให้ทันตแพทย์เป็นผู้ประเมินจะดีที่สุด